2. doz Covid-19 aşısı olan kişilerin gerçek yaşam sonuçları

Uzmanlar tarafından korona virüsle mücadele en önemli silah aşı olarak gösterilirken Göğüs Hastalıkları Uzmanı Prof. Dr. Şevket Özkaya ise 2. doz Covid-19 aşısı olduktan sonra korona virüse yakalanmış kişilerin klinik yansımalarını paylaştı. Kişilerin akciğerleri üzerinden örnek veren Prof. Dr. Özkaya, "Aşı yaptığımızda gerçekten antikor oluşturuyor ama bu antikor kişiyi koruyacak mı yaşlılarımızı koruyacak mı diye merakla beklediğimiz sorunun cevabını yeni almaya başladık" dedi.

2. doz Covid-19 aşısı olan kişilerin gerçek yaşam sonuçları

Uzmanlar tarafından korona virüsle mücadele en önemli silah aşı olarak gösterilirken Göğüs Hastalıkları Uzmanı Prof. Dr. Şevket Özkaya ise 2. doz Covid-19 aşısı olduktan sonra korona virüse yakalanmış kişilerin klinik yansımalarını paylaştı. Kişilerin akciğerleri üzerinden örnek veren Prof. Dr. Özkaya, "Aşı yaptığımızda gerçekten antikor oluşturuyor ama bu antikor kişiyi koruyacak mı yaşlılarımızı koruyacak mı diye merakla beklediğimiz sorunun cevabını yeni almaya başladık" dedi.

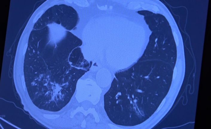
Korona virüs hastalığı genç nüfusta daha fazla görülmeye başlarken Covid-19 aşıları tamamlanan 60 yaş üstü vatandaşlardan bazıları ise korona virüse yakalanmaya devam ediyor. VM Medical Park Samsun Hastanesinde görev yapan Göğüs Hastalıkları Uzmanı Prof. Dr. Şevket Özkaya ise aşının gerçek yaşam sonuçlarını gözler önüne serdi. 2. doz aşıları tamamlanmış fakat Covid-19 servisinde yatan hastaların akciğer tomografilerini inceleyen Prof. Dr. Özkaya, bu kişilerin akciğer tutulumları olduğu halde hastalığı hafif atlattıklarını söyledi.

Akciğerlerdeki değişimler

Bugüne kadar aşının etkilerini hep laboratuvar ortamında antikor üretip üretmemesi ile değerlendirdiklerini belirten Prof. Dr. Özkaya, "Vatandaşlarımız aşılarını olduktan sonra ilk gerçek yaşam sonuçlarını yeni yeni almaya başladık. Gerçekten aşı yaptığımızda antikor oluşturuyor ama bu antikor kişiyi koruyacak mı diye merakla beklediğimiz sorunun cevabını, insanlar 2. doz aşısını olduktan bir ay sonra ortaya çıkmaya başladı. Bu hastalar korona virüsü kaptığında yeni yeni korumaya başladığını anladık. Bir örnek vermem gerekirse, 84 yaşında bir hastamız 2. doz aşısını olduktan sonra eşiyle beraber Covid-19 oluyor. Korona virüsü akciğer tutulumları olduğu halde çok hafif şekilde atlattılar. 65 yaşında başka bir hastamızı göstermek gerekirse, bu hastamız da 2. doz aşısını olmuş ve aradan 1 ay geçtikten sonra antikor da oluşmuş. Bu antikor bu kişiyi koruyacak mı diye gerçek yaşam sonuçlarına baktığımızda, koronanın hastanın akciğerlerine indiği halde çok hafif atlattığını görüyoruz. Eğer bu kişi aşı olmasaydı, hastaneye yatarak daha ağır geçirebilirdi" diye konuştu.

"Aşı hasta profilimizi değiştirdi"

Covid-19 servisinde yatan hastaların yüzde 80’inin gençlerden oluştuğunun altını çizen Prof. Dr. Özkaya, "Artık daha genç hastaların mutant virüsle karşılaştıkları için daha ağır geçirdiği görüyoruz. 60 ve 65 yaş üstünü ise aşıyla sigortaladığımızı düşünüyoruz. Aşının gerçek yaşam sonuçlarının olumlu olduğunu görüyoruz. Aşı olanlar virüse yakalandıkları halde çok hafif veya hastaneye yatmadan atlatıyorlar. Şu an servisimizde yatan hastaların yüzde 80’inini genç hastalar oluşturuyor. Artık 60 yaş üstünde çok fazla hasta görmüyoruz. Örneğin (akciğer filmini gördüğümüz) 40 yaşındaki bir hastamız aşılanmadığı için mutant virüse yakalanmış. Akciğerleri çok kötü durumda ve hastanede yatıyor. 24 yaşında bir genç kızımızda ise ciddi akciğer tutulumları görüyoruz. 49 yaşında bir hastamızı ise maalesef çok ciddi akciğer tutulumu ve neredeyse paramparça bir akciğerle yoğun bakımda takip ediyoruz" şeklinde konuştu.

"PCR testleri yanıltabilir"

Mutant virüsün testten kaçtığını da sözlerine ekleyen Prof. Dr. Özkaya, "Son zamanlarda halkımızın bilinçlenmesiyle birlikte çok sayıda semptomatik; öksürük, nefes darlığı, halsizlik, baş ağrısı, ateş ile gelen hastamız var ama bunları testle bir türlü saptayamıyoruz. PCR testini yaptığımız halde sonucu negatif çıkan ancak akciğer tutulumu olan çok sayıda hastamız oluyor. Muhtemelen mutant virüs testten kaçıyor. Ancak testinizin negatif olması sizin hasta olmadığınızı göstermiyor. Testiniz negatif bile olsa eğer şikâyetleriniz varsa mutlaka korona virüs kapmış gibi kendinizi izole etmeniz gerekiyor. Son zamanlarda testte saptayamadığımız ama çok ciddi kovid hastası olan kişiler gelmeye başladı" ifadelerini kullandı.

Yorum yapabilmek için üye girişi yapmanız gerekmektedir.

Üye değilseniz hemen üye olun veya giriş yapın.

SIRADAKİ HABER