Bu akıntıya dikkat, Karadeniz’de boğulma vakaları arttı

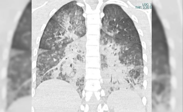
BOĞULMA VAKASI AKCİGER GÖRÜNTÜSÜ

Bu akıntıya dikkat, Karadeniz’de boğulma vakaları arttı

Hava sıcaklıklarındaki anormal derecedeki artışların özellikle Karadeniz’de boğulma vakalarında beklenmedik artışlara neden olduğunu söyleyen Prof. Dr. Şevket Özkaya, “Karadeniz’de dalgalı denize girenler ‘Rip dalgası ya da akıntısı’ tehlikesi ile karşı karşıya kalıyorlar. Buna bağlı olarak her gün boğulma ve boğula yazma vakaları görülmeye başlandı” açıklamasını yaptı.

Sıcak hava dalgalarının ülkemizde etkisini göstermesi ile vatandaşlar serinlemek için sahillere akın etmeye devam ediyor. Bu durumun özellikle Karadeniz’de görülen Rip dalgası ya da akıntısı sebebiyle boğulma vakalarında artışa neden olduğunu ifade eden Altınbaş Üniversitesi Tıp Fakültesi Öğretim Üyesi, Göğüs Hastalıkları Anabilim Dalı Başkanı Prof. Dr. Şevket Özkaya özellikle rüzgarlı havalara dikkat çekti.

Rip akıntı nedir?

Prof. Dr. Şevket Özkaya Rip akıntısı ya da yanıltıcı gelgit olarak adlandırılan bu akımın, dalgaların kırıldığı plajların yakınında meydana gelebildiğini anlattı. Kırılan dalgaların ters yönünde akan suyun belirli bir akım oluşturduğunu, bunun da kıyıya ulaşan dalgalara tepki olarak kıyıya dik bir şekilde meydana geldiğini belirtti. “Rip akımları bu nedenle sudaki insanlar için tehlikelidir. Bir rip akımına yakalanan ve ne olduğunu anlamayan vatandaş yüzme becerilerine de sahip değilse, panik yapabilir veya doğrudan su akışına karşı yüzmeye çalışarak kendilerini tüketebilirler” uyarısında bulundu. Özkaya, boğulma vakalarında en talihsiz grubun, çocuk yaşlardakiler olduğunu söyleyerek, “Çocuklar bu akıntıya karşı koyamıyorlar. Küçük yaşlarda boğulmaların sık olması nedeni ile boğulma ve boğula yazma vakalarında ailelerin çocuklarına bu konuda özellikle dikkat etmeleri gerekiyor” dedi.

“Rüzgarlı havalarda Karadeniz’e girmeyin”

Rip akıntısının ancak yüksekten bakıldığında anlaşılabileceğine dikkat çeken Özkaya, bu bölgede suyun renginin etrafındaki suyun rengine oranla daha koyu olduğunu söyledi. Bu bölgede derinliğin de arttığına dikkat çekerek, “Özellikle iç bölgelerden sahil bölgelerine gelen ve yüzme bilmeyen vatandaşlar bu tehlikeye davetiye çıkarıyor. Rüzgârlı havalarda Karadeniz’e girilmemesi gerekiyor” diye konuştu.

Yorum yapabilmek için üye girişi yapmanız gerekmektedir.

Üye değilseniz hemen üye olun veya giriş yapın.

SIRADAKİ HABER