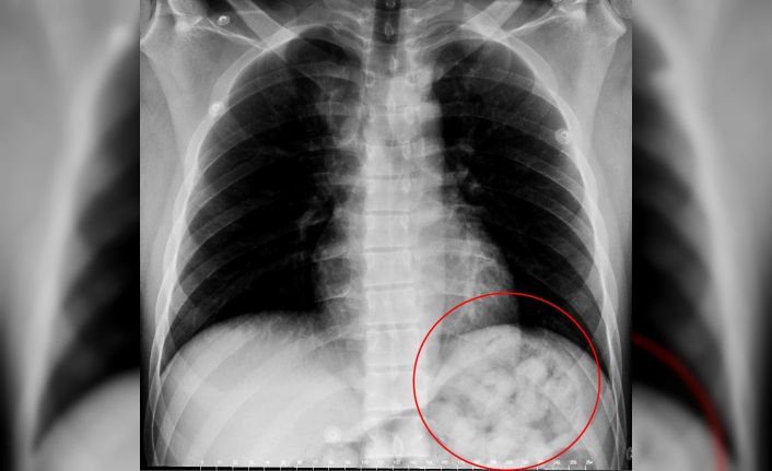
Van’dan otobüsle Ankara’ya gelen yabancı uyruklu şahıs, yuttuğu 72 kapsül metamfetamin kapsülünün midesinde patlaması üzerine rahatsızlanarak hastaneye kaldırıldı.
Edinilen bilgiye göre, 5 gün önce Van’dan otobüsle Ankara’ya gelen O. Zahed Ahmed Narziveh rahatsızlanınca hastaneye kaldırıldı. Ankara Şehir Hastanesine getirilen şahsın röntgen görüntüleri gerçeği ortaya çıkardı. Şahsın midesinde 890 gram ağırlığında 2’si patlamış halde 72 kapsül olduğu ve kapsüllerin patlaması ile fenalaştığı belirlendi. Mahkeme kararına istinaden ameliyata alınarak midesindeki metamfetamin kapsülleri çıkartılan zanlı, Ankara Emniyet Müdürlüğüne bağlı Narkotik Suçlarla Mücadele ekiplerince hastanedeki 5 günlük tedavisinin ardından adliyeye sevk edildi.Karnından uyuşturucu zulası çıktı
Van’dan otobüsle Ankara’ya gelen yabancı uyruklu şahıs, yuttuğu 72 kapsül metamfetamin kapsülünün midesinde patlaması üzerine rahatsızlanarak hastaneye kaldırıldı.
Yorum yapabilmek için üye girişi yapmanız gerekmektedir.
Üye değilseniz hemen üye olun veya giriş yapın.
1
Evlat nöbetindeki anne Süheyla Demir: "Millet,...
2
Köşk Belediyesinden larva mücadelesi
3
Özgan: "Misafirlerimizi karşılamaya hazırız"
4
Kasklı kundakçılar galerideki lüks araçları...
5
Kars’ta kontrollü normalleşme denetimi
6
Adıyaman’da uyuşturucuya geçit yok
7
Bakan Soylu, Alaçam Hükümet Konağı inşaatında...
8
Gamzi Esgicioğlu’nun katil zanlısına müebbet...
9
Kedi ile köpeğin şaşırtan dostluğu
10
Manavgat’da pandemi denetimi
SON DAKİKA HABERLERİ
ANKETTüm Anketler
NAMAZ VAKİTLERİ
İMSAK
06:49
GÜNEŞ
08:21
ÖĞLE
13:10
İKİNDİ
15:29
AKŞAM
17:49
YATSI
19:16
SIRADAKİ HABER