Karabük Eskipazar karayolu cildikısık mevkiinde orman yangını çıktı. Rüzgarın da etkisiyle bir anda büyüyen Alevilere müdahale etmek üzere olay yerine çok sayıda itfaiye aran söz ve su tankerleri sevk ediliyor. Ayrıca yangın helikopteri talebinde bulunuldu.
Karabük’te orman yangını
Karabük Eskipazar karayolu cildikısık mevkiinde orman yangını çıktı. Rüzgarın da etkisiyle bir anda büyüyen Alevilere müdahale etmek üzere olay yerine çok sayıda itfaiye aran söz ve su tankerleri sevk ediliyor. Ayrıca yangın helikopteri talebinde bulunuldu.
Yorum yapabilmek için üye girişi yapmanız gerekmektedir.
Üye değilseniz hemen üye olun veya giriş yapın.
1
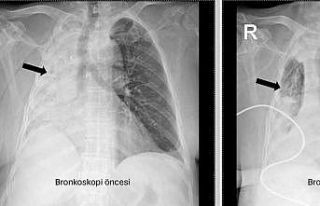
Nefes borusuna kaçan mısır tanesi 5 ay sonra ortaya...
2
Karabük’te orman yangını
3
Gülpınar’dan MHP Genel Başkanı Devlet Bahçeli’ye...
4
Simav Gölcük mesire alanında hafta sonuna kadar...
5
Bolu’da çıkan orman yangını büyümeden söndürüldü
6
Sakarya’nın Hendek ilçesinde de yangın çıktı
7
Kocaeli’de kadın cinayeti: Eşi dahil 4 kişi tutuklandı
8
Bingöl’de asayiş uygulamaları
9
Karabük’te orman yangını çıktı
10
Fethiye’de Şaban Ataş cinayeti davası
SON DAKİKA HABERLERİ
ANKETTüm Anketler
NAMAZ VAKİTLERİ
İMSAK
06:49
GÜNEŞ
08:21
ÖĞLE
13:10
İKİNDİ
15:29
AKŞAM
17:49
YATSI
19:16
SIRADAKİ HABER